Common Ground Insights

Reliable news and clear information for everyday understanding.

society

Can fabella cause pain?

Written by David Craig — 0 Views

If it does hurt, it is called fabella syndrome. It is recognized by a sharp pain, local tenderness, and intensification of pain in the area of the fabella by full extension of the knee. It can also cause pain during knee flexion, ascending stairs, cross-legged sitting and athletic activities.

What does the fabella do?

The fabella's main function is thought to be stabilization of the medial femoral condyle and the fabella complex, which is made up of the plantaris and gastrocnemius muscles and the arcuate, fabellofibular, fabellopopliteal, and oblique popliteal ligaments [1-3].

Should a fabella be removed?

Removing of fabella does not influence post-operation knee function but reduce the incidence of knee posterolateral complications and be helpful to the balance of soft tissue during operation in genu valgum cases.

How can you tell if you have a fabella?

Medical professionals search for the fabella bone by palpating at the back of the knee and checking for swelling or tenderness in the surrounding area. If they believe the fabella is indeed the reason, an ultrasound or magnetic resonance imaging (MRI) is used to confirm their diagnosis.

How do you cure fabella?

Fabella pain syndrome can be treated with physical therapy, injection of local anesthetics or steroids near the site, radial extracorporeal shock wave therapy (rESWT) or fabellectomy [6]. Physical therapy entails the patient be placed in a prone position with the legs supported at an angle of 30 degrees flexion [15].

Comprehensive Review of the Fabella Bone - Dominic Dalip, MD

28 related questions found

What is calcified fabella?

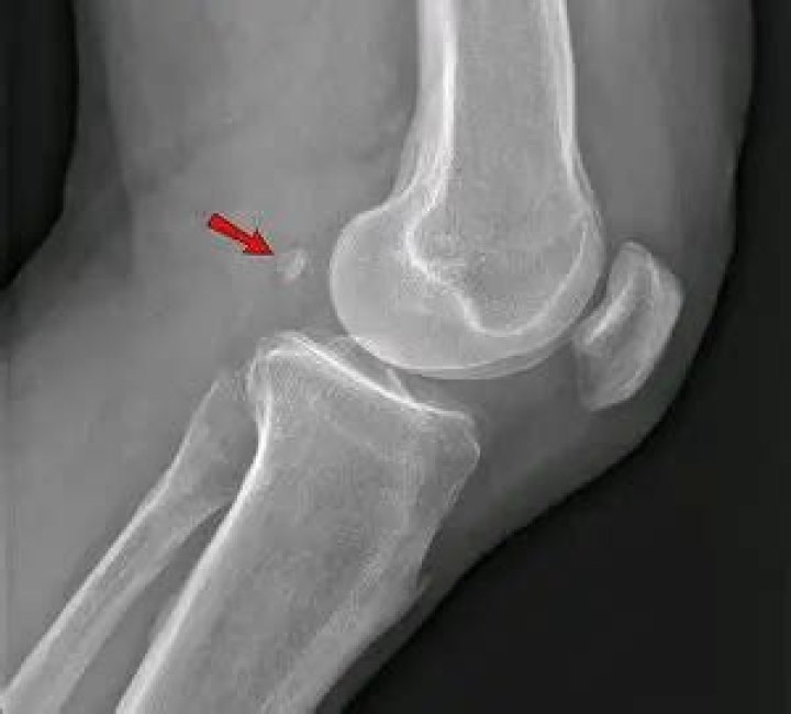
The fabella is a small sesamoid bone found in some mammals embedded in the tendon of the lateral head of the gastrocnemius muscle behind the lateral condyle of the femur. It is an accessory bone, an anatomical variation present in 39% of humans.

What does the gastrocnemius and soleus do?

Function. The gastrocnemius with the soleus, is the main plantarflexor of the ankle joint. The muscle is also a powerful knee flexor. It is not able to exert full power at both joints simultaneously, for example when the knee is flexed, gastrocnemius is unable to generate as much force at the ankle.

How common is fabella?

The fabella is a sesamoid bone located behind the lateral femoral condyle. It is common in non‐human mammals, but the prevalence rates in humans vary from 3 to 87%.

Are you born with a fabella?

Dr Berthaume said: "Fabella are unique among bones in that they can appear at any age. They're more common in older individuals because they can appear as individuals grow." Men were slightly (3%) more likely than women to have fabellae.

Where is the fabella located?

The fabella is located in the posterior aspect of the knee where lines of tensile stress intersect. It articulates with the posterior part of the articular surface of the lateral femoral condyle and is embedded in the muscular fibres of the gastrocnemius muscle [5].

How many sesamoid bones are in the foot?

In the normal foot, the sesamoids are two pea-shaped bones located in the ball of the foot, beneath the big toe joint.

What is joint effusion?

Fluid is normally found in joints such as knees, hips, and elbows. When too much fluid builds up around a joint in your body, it's called joint effusion. When you have this problem, your joint may look swollen.

Do cats have fabellae?

There are mineralised and non-mineralised fabellae in cats with and without radiographic changes in the hips. The present material may indicate a hereditary malformation as the domestic cats comprised a higher number without mineralised fabellae.

What age does Osgood Schlatters go away?

Osgood-Schlatter disease usually goes away when the bones stop growing. Typically, this is when a teen is between 14 and 18 years old.

Why is there a bone sticking out below my knee?

The point of attachment of the patella tendon to the shin bone is the bony bump (tibial tuberosity) just below the knee. Osgood-Schlatter syndrome (or disease) is a painful knee condition that tends to affect adolescents. Boys are affected more than girls, although this could be due to differing activity patterns.

Why is there a bone sticking out of the side of my knee?

Through wear and tear, cartilage, the “cushioning” within the knee joint, slowly degrades resulting in the formation of bone spurs as your body adapts to maintain the stability of the knee joint.

Why is the fabella bone more common in humans today?

"The average human, today, is better nourished, meaning we are taller and heavier," says Berthaume. "This came with longer shin bones and larger calf muscles – changes which both put the knee under increasing pressure. This could explain why fabellae are more common now than they once were."

What is a fabella in medicine?

Medical Definition of fabella

: a small fibrocartilage ossified in many animals and sometimes in humans in the tendon of the gastrocnemius muscle, behind one or both of the femoral condyles.

What is bifid patella?

A bipartite patella forms when a portion of the patella does not completely heal along the bony edges of the patella. Most commonly, this is in the upper and outer (superolateral) portion of the patella. Bipartite patella is quite common, usually asymptomatic, and is found in 2% of the population on x-rays.

What does soleus pain feel like?

Grade-one muscle strains, such as those experienced in the soleus, can be classified as mild pain with activity, localized tenderness on palpation, mild spasm and swelling.

What are the signs and symptoms of a gastrocnemius strain?

Signs and symptoms

A sudden pain at the back of the leg, particularly at the muscular tendinous junction. Difficulty in contracting the muscle or standing on tiptoe. Pain and swelling or bruising in the calf muscle. Pain on resisted plantar flexion or contracting the muscles against resistance.

Why does my gastrocnemius muscle hurt?

A medial gastrocnemius strain is a acute injury that happens when the calf muscle is abruptly overstretched. This causes small tears in the calf muscle fibers. Some people hear a "pop" when the injury occurs, and you may not feel pain in the moment.

What is the lateral fabella?

A lateral fabellar suture is a surgical method of stabilizing the stifle. It is what's called an 'extracapsular' technique, because the suture is external to the knee joint itself. As such this means it's not as invasive as other techniques.

What is it called when you have an extra bone in your knee?

Doctors aren't sure why, but sometimes the bones don't completely fuse, creating a bipartite patella. This extra bone is usually near the upper outer edge or lower bottom edge of your knee.

What is a sesamoid bone?

In a normal foot, the sesamoids are two pea-shaped bones located in the ball of the foot beneath the big toe joint. Acting as a pulley for tendons, the sesamoids help the big toe move normally and provide leverage when the big toe pushes off during walking and running.