Common Ground Insights

Reliable news and clear information for everyday understanding.

news

Can humans get ear mites from cats?

Written by Ava Barnes — 0 Views

If your pet has ear mites, these mites can travel to your bedding and furniture and then attach themselves to you — a human host. Keep in mind you don't have to have an animal of your own to get ear mites. You can develop an infection if you come in close contact with anyone's pet who has ear mites.

Can humans see ear mites?

The presence of ear mites in the ear canal of cats and dogs causes irritation and intense itching. These pesky parasites are also called ear canker mites or otodectic mites. They are very small and are barely invisible to the human eye. Ear mites thrive by feeding off skin oils and ear wax.

Can cat mites get in human hair?

When these mites affect people, the name for the issue is scabies. Mites are microscopic, eight-legged parasites that can live on animals, including dogs, cats, and humans. To lay their eggs, they either burrow into the skin or hair follicles.

What do ear mite bites look like on humans?

Unlike other insect bites or stings that form a single lump on the skin with a noticeable puncture site, mite bites induce skin rashes on the legs, arms, and trunk. General signs to look for include: small, hard bumps on the skin. red patches of skin.

How do you get rid of mites on humans?

It can only be cured with prescription medications that kill the mites. Treatment is a cream or lotion that is applied to the entire body from the neck down in most cases. It is left on for 8 to 14 hours and then washed off. In some cases, a doctor may prescribe pills to treat scabies.

Can A Person Get Ear Mites From A Cat

29 related questions found

How can you tell if you have mites in your bed?

Symptoms of dust mite allergy include sneezing, runny nose, itchy nose, and nasal congestion. If you have asthma, dust mites can cause you to wheeze more and need more asthma medicine. You may have more asthma symptoms at night, when you are lying in a bed infested with dust mites.

Can humans get mites?

Humans can get scabies or other types of mange from direct contact with mites that cause the condition. Not all mites cause mange. Some may get onto your skin and cause a temporary allergic reaction that doesn't need further treatment. The mite Sarcoptes scabieicauses scabies.

How do you get rid of mites on humans naturally?

Anyone trying a home remedy for scabies should consult a doctor if the infestation does not clear up or show signs of improving.
  1. Tea tree oil. Share on Pinterest Tea tree oil may help to relieve some of the symptoms of scabies. ...
  2. Aloe vera. ...
  3. Neem. ...
  4. Clove oil. ...
  5. Cayenne pepper. ...
  6. Turmeric. ...
  7. Zinc. ...
  8. Wash clothes in hot water.

What are the signs of ear mites?

These include:
  • Strong odor coming from the ears.
  • Black or brown waxy secretions from the ears.
  • Inflammation of the ear, including redness and the ear becoming hot to the touch.
  • Debris in the ear canal that looks like coffee grounds.
  • Excessively itching, scratching or rubbing of her ears.
  • Hair loss around the ears.

Are cat ear mites contagious?

Ear mites are extremely contagious, he notes, moving from one cat to another on close contact and eventually making their way to the ear. Infestation is most common among outdoor cats, whether they're brawling or cuddling up affectionately.

What kills ear mites naturally?

Green tea is a natural antiseptic. It can be used to flush out all the ear mite debris—that crumbly brown/black stuff that clogs the puppy's ear canal. Steep a tablespoon of green tea leaves in a cup of hot water for three or four minutes and then strain it.

Do ear mites smell?

The symptoms of ear mites in dogs are similar to the symptoms of ear infections and other ear conditions. Inflammation, foul odor, itchiness, and discharge are common.

Can an indoor cat get ear mites?

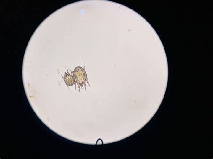
Even indoor-only cats can end up with them, and once one cat in the house has them, the others are sure to end up with them as well. Otodectes cynotis seen under a microscope. The most common type of ear mite is Otodectes cynotis, which live in the ear canal and feed by piercing the thin skin.

Do cat ear mites go away on their own?

The life cycle of an ear mite usually lasts three weeks which means that you should wait at least that long for your cat can be rid of the microscopic insects. The itchiness should start to subside as the medication takes effect, but you should contact your vet if your cat's symptoms don't improve.

Where do cat ear mites come from?

They can catch them from the environment, or another animal. Ear mites are not species specific, meaning that a cat can pick them up from a dog, and vice versa. Ear mites can be spread through direct contact, or your pet could pick them up from another animal's environment.

Can mites live in your hair?

The Demodex mite is an eight-legged (an arachnid) ectoparasite (living on the surface of the host) that can reside in our hair follicles and sebaceous glands.

What type of mites can bite humans?

Bird and rodent mites

Rodent and bird mites typically live in nests and on animal hosts. If their host dies or leaves the nest, however, they may also bite humans. You may feel a small sting when they bite and eventually notice: pain.

What kills mites instantly?

Sprays and aerosols containing syngergized pyrethrins should kill mites immediately on contact, though the treatment will only remain effective for up to a few hours. Insecticide sprays containing permethrin or bifenthrin are effective against many mites and should retain their killing properties for several weeks.

Are mites bad for humans?

While mites rarely transmit disease to humans in the United States, they definitely impact health in ways that range from simply being a nuisance when they enter homes in large numbers, to inflicting severe skin irritation that can cause intense itching.

Can you feel mites crawling on your skin?

Many people suffer from the feeling that insects, mites, or other tiny creatures known as arthropods are biting them, crawling on them, or burrowing in their skin. Frequently, the causes of these feelings are unknown and no tiny creature can be captured for analysis.

Do mites live on your face?

It might give you the creepy-crawlies, but you almost certainly have tiny mites living in the pores of your face right now. They're known as Demodex or eyelash mites, and just about every adult human alive has a population living on them. The mostly transparent critters are too small to see with the naked eye.

How do mites get in your house?

How mites get into the house or yard depends on their species. Clover mites often exploit tiny cracks to enter homes by the thousands. ... Other types, like dust mites are almost always found inside homes, while chiggers, and rodent or bird mites attach themselves to hosts and hitchhike into homes on people and pets.

Are dust mites visible?

Identification. House dust mites, are too small to be visible to the naked eye; they are only 250 to 300 microns in length and have translucent bodies. It takes at least a 10X magnification to be able to correctly identify them.

Are dust mites everywhere?

The harmful allergen they create comes from their fecal pellets and body fragments. Dust mites are nearly everywhere; roughly four out of five homes in the United States have detectable levels of dust mite allergen in at least one bed.

What is the brown stuff in my cat's ears?

As with humans, it's completely normal for a small amount of earwax to form in your cat's ears. However, excessive wax buildup can occur if your kitty has allergies, a bacterial infection, systemic inflammation, ear mites, or a yeast infection. A cat's brown earwax often resembles dirt or dried blood inside the ears.