Common Ground Insights

Reliable news and clear information for everyday understanding.

education

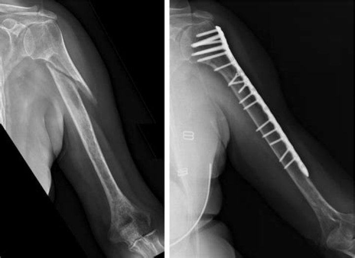
Do humerus fracture need surgery?

Written by David Craig — 0 Views

In many cases, proximal and mid-shaft humerus fractures don't require surgery because the broken ends usually stay close together. This makes it easier for your humerus to heal on its own. However, you'll still need to wear a sling, brace, or splint to keep your arm from moving and stabilize your shoulder, if needed.

When is surgery needed for fractured humerus?

Surgeons may recommend an operation to fix the broken humerus if it is broken into many pieces, if the bones are far apart, if the bone sticks out through the skin, or if the nerves or blood vessels are injured.

Do all humerus fractures require surgery?

Most fractures of the proximal humerus can be treated without surgery if the bone fragments are not shifted out of position (displaced). If the fragments are shifted out of position, surgery is often performed to allow earlier mobility.

How long does a fractured humerus take to heal without surgery?

General Treatment

Most proximal humerus fractures can be treated without surgery. The broken bone will take 3 to 4 months to heal. During this time, you will need to perform exercises to regain range of motion, strength, and return to normal activities.

Is a humerus fracture serious?

Humerus fractures cause severe pain and swelling. Humerus fractures cause severe pain and swelling. On a scale of 10, pain in patients following a humerus fracture is eight or more. Shortening of the arm is apparent with significant deformity of the bones.

What to expect after humerus fractures.

26 related questions found

Can you move your arm with a fractured humerus?

A fractured humerus or upper arm is extremely painful, and the patient may not be able to move their arm. Sometimes, the radial nerve (one of the main nerves in the arm) may be injured. This happens about 15% of the time.

How long does it take for a broken humerus to stop hurting?

The humerus is the long bone in your upper arm. When broken it needs specialised care so that you can cope with the problems it brings. It will take a minimum of 12 weeks to heal. This is a very painful injury so take your pain relief medication regularly as prescribed by the doctor.

What part of the humerus is the most commonly fractured?

The most frequently fractured site of the humerus especially in elderly is the surgical neck which is an area of constriction distal to the tuberosities.

How do you sleep with a broken humerus?

You should sleep upright, either in an arm chair, or sitting up in bed propped up on plenty of pillows. Your upper arm should be allowed to hang and not be rested on pillows which may force your shoulder upwards.

How do you rehab a broken humerus?

Your physical therapy treatment may include:
  1. Range of Motion Exercises. Due to their limited movement following a proximal humerus fracture, individuals lose their range of shoulder motion and may develop stiffness of the shoulder joint. ...
  2. Strengthening Exercises. ...
  3. Manual Therapy. ...
  4. Modalities. ...
  5. Functional Training.

How long before you can drive after a broken humerus?

On average most people return to driving around 4 weeks following surgery. If a ligament or tendon has been repaired, you need to wait until the tendon/ ligament has healed – normally around 8-10 weeks with a graduated increase in activity.

Does a broken arm require surgery?

Surgery. Surgery is required to stabilize some fractures. If the fracture didn't break the skin, your doctor might wait to do surgery until the swelling has gone down. Keeping your arm from moving and elevating it will decrease swelling.

How long is recovery from humerus surgery?

In this surgery, the bones are repositioned to back to where they should be and then held in position with screws, plates, heavy sutures or other means. The bones will go on to heal, usually within 6-10 weeks.

How long does it take to recover from a proximal humerus fracture?

Proximal humerus fractures typically require 6 to 8 weeks for the bone to heal, plus a period of rehabilitation of about 3 to 6 months. The goal of rehabilitation is to restore arm function and help you return to regular activities as soon as possible.

Should you wear a sling to bed?

5. SLEEPING: For the first 6 weeks your sling should be kept on while you are in bed. You may find it more comfortable to sleep on your back initially, with a pillow under your operated arm for support. You may also find it more comfortable to sleep in a semi-sitting position.

Can I drive with a fractured humerus?

There is no law that explicitly prohibits you from driving a car with a broken arm. However, if you feel that you're finding it difficult to drive safely with your cast on, then you should refrain from getting behind the wheel.

What are the complications of humerus fracture?

The most common complications were fracture-displacement, malunion, humeral head necrosis and malreduction.

Can a humerus fracture heal on its own?

Most humerus fractures eventually heal without causing any long-term health problems. For the smoothest recovery process, see your doctor as soon as you notice symptoms of a fracture.

What is the most painful bone to break?

Here's a look at some of the bones that hurt the most to break:
  • 1) Femur. The femur is the longest and strongest bone in the body. ...
  • 2) Tailbone. You could probably imagine that this injury is highly painful. ...
  • 3) Ribs. Breaking your ribs can be terribly distressing and quite painful. ...
  • 4) Clavicle.

How do you reduce swelling from a humerus fracture?

These include:
  1. Cold packs. Putting an ice pack on the injured area may help reduce swelling and pain.
  2. Pain medicines. Taking prescription or over-the-counter pain medicines may help reduce pain and swelling.
  3. Exercises.

What happens if a fracture is left untreated?

When a bone fracture is untreated, it can result in either a nonunion or a delayed union. In the former case, the bone doesn't heal at all, which means that it will remain broken. As a result, swelling, tenderness, and pain will continue to worsen over time.

Should you ice a fractured humerus?

Put ice or a cold pack on your arm for 10 to 20 minutes at a time. Try to do this every 1 to 2 hours for the next 3 days (when you are awake). Put a thin cloth between the ice and your cast or splint. Keep the cast or splint dry.

How long do I have to wear a sling for a broken humerus?

One should wear the sling for a minimum of 3 weeks, and a maximum of 6 weeks. Your doctor will determine this. Between 3 to 6 weeks you may trial not wearing the sling- if you are comfortable then you may keep the sling off. If you are getting a lot of pain then you should keep wearing the sling.