Common Ground Insights

Reliable news and clear information for everyday understanding.

politics

In masson trichrome stain?

Written by Amelia Brooks — 0 Views

Masson's trichrome is a three-colour staining protocol used in histology. ... It is used to stain the nuclei. Solution A, also called plasma stain, contains acid fuchsin, Xylidine Ponceau, glacial acetic acid, and distilled water. Other red acid dyes can be used, e.g. the Biebrich scarlet in Lillie's trichrome.

What Colour does Masson trichrome stain?

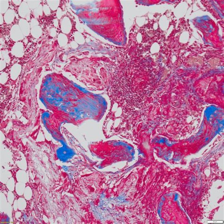
Masson's trichrome.

Nuclei and other basophilic (basic-liking) structures are stained blue, cytoplasm, muscle, erythrocytes and keratin are stained bright-red. Collagen is stained green or blue, depending on which variant of the technique is used.

What does trichrome stain detect?

Trichrome Staining Procedure

The permanent stained smear facilitates detection and identification of cysts and trophozoites and affords a permanent record of the protozoa encountered. Small protozoa, missed by wet mount examinations (of either unconcentrated or concentrated samples) are often seen on the stained smear.

What is the stain for collagen?

Mason's Trichrome stain is used to highlight connective tissue fibers in a tissue section. Collagen fibers are stained a blue hue, nuclei a blue-black, and cytoplasm, keratin, and muscle fibers a range of pink to red hues.

How does Masson trichrome staining work?

PRINCIPLE: As the name implies, three dyes are employed selectively staining muscle, collagen fibers, fibrin, and erythrocytes. ... Then when treated with the phospho acids, the less permeable components retain the red, while the red is pulled out of the collagen.

Masson's Trichrome Staining

36 related questions found

What type of collagen does trichrome stain?

In histology, the trichrome stain is used to confirm the presence of type I collagen and is commonly used to interpret liver biopsies.

What does the Masson trichrome stain highlight in a liver biopsy?

Masson's trichrome stain is among the most common special stains applied to liver specimens. The stain imparts a blue color to collagen against a red background of hepatocytes and other structures.

What is meant by trichrome?

1. Of, relating to, or having three colors, as in photography or printing. 2. Having perception of the three primary colors, as in normal human vision: trichromatic vision; a trichromatic individual.

Is Van Gieson stain a trichrome stain?

Van Gieson's trichrome is used for the differentiation between collagen and smooth muscle in tumors and to demonstrate the increase in the amount of collagen in these pathologies. Collagen: bright red. ... Cytoplasm, muscle, fibrin and red blood cells: yellow.

How do you make Masson trichrome?

Procedure:
  1. Deparaffinize and rehydrate through 100% alcohol, 95% alcohol 70% alcohol.
  2. Wash in distilled water.
  3. Stain in Weigert's iron hematoxylin working solution for 10 minutes.
  4. Rinse in running warm tap water for 10 minutes.
  5. Wash in distilled water.
  6. Stain in Biebrich scarlet-acid fuchsin solution for 10-15 minutes.

What does warthin Starry stain?

Warthin - Starry stain is a stain based on silver nitrate used in histology. This type of stain is commonly called silver staining. Warthin - Starry stain is used for the visualization of spirochetes but also for the detection of Helicobacter pylori and microsperediates.

What is histological staining?

Histological staining is a series of technique processes undertaken in the preparation of sample tissues by staining using histological stains to aid in the microscope study (Anderson, 2011).

How do you make a van Gieson?

Use 4 ml of distilled water to dissolve potassium iodide. And then add iodine. Once iodine is dissolved, dilute this solution by adding 96 ml of distilled water. This solution may be prepared fresh as needed or made in larger quantities and stored in brown bottle in the dark at room temperature.

Why is iron hematoxylin used in Van Gieson stain?

Van Gieson's stain in an angioleiomyoma, making smooth muscle fibers yellow and collagen fibers red. Hematoxylin and Van Gieson's stain gives collagen a pink color, such as in fibrosis (arrows, here in cirrhosis).

What is EVG stain?

Elastin stain — Elastin van Gieson (EVG) stain highlights elastic fibers in connective tissue. — EVG stain is useful in demonstrating pathologic changes in elastic fibers, such as reduplication, breaks or splitting that may result from episodes of vasculitis, or connective tissue disorders such as Marfan syndrome.

What is Trichrome library?

We've moved to a new model for sharing common code between Chrome and WebView (called "Trichrome") which gives the same benefits of reduced download and install size while having fewer weird special cases and bugs."

Why is Trichrome stain critical in the diagnosis of liver cirrhosis?

Normal liver biopsies demonstrate tricrhome stained collagen in the portal tracts and around the central vein. In end stage liver disease (cirrhosis), the trichrome stain will demonstrate a marked increase in collagenous tissue, referred to as fibrosis. Trichrome stains include the use of three dyes.

What is MSB stain used for?

Martius Scarlet Blue (MSB) staining technique is used for fibrin visualization, especially of older clusters. This method is a modified Masson Trichrome method and it is ideal for studying connective tissue and vascular pathology.

Why PAS staining is done?

The periodic acid-Schiff (PAS) staining procedure is most commonly used in the histology laboratory to detect glycogen deposits in the liver when glycogen storage disease is suspected. Glycogen granules may also be visible in tumors of the bladder, kidney, ovary, pancreas, and lung.

Why is H and E staining used?

H and E staining helps identify different types of cells and tissues and provides important information about the pattern, shape, and structure of cells in a tissue sample. It is used to help diagnose diseases, such as cancer. Also called hematoxylin and eosin staining.

What does iron hematoxylin stain?

Iron hematoxylin was the stain used for most of the original morphological descriptions of intestinal protozoa found in humans. The iron hematoxylin staining method can stain the intracellular and nuclear structure's dark compared to the cytoplasm, for easy identification of parasite morphologies.

What is the principle of the reticulin stain?

Reticulin stains use silver and rely on the argyrophilic properties of the fibers. Argyrophilic cells can adsorb silver but cannot reduce it. "Adsorb" is a surface-based process, whereas "absorb" means there is permeation through the tissue.

What does Resorcin Fuchsin stain?

PRINCIPLE: The complex formed from the basic fuchsin, an iron resorcin lake, binds to the elastic fibers, resulting in the blue-black staining. The nuclear detail is stained with an iron hematoxylin which will not over differentiate in the acidic elastic stain solution.

What is a trichrome stain in histopathology?

Trichrome staining is a histological staining method that uses two or more acid dyes in conjunction with a polyacid. Staining differentiates tissues by tinting them in contrasting colours. ... The word trichrome means "three colours".

What is Harris hematoxylin?

Harris hematoxylin is a commonly used alum hematoxylin that may be used for progressive staining of cytology specimens, but may be used for either progressive or regressive staining in histology. The staining tends to provide clear nuclear detail.