Common Ground Insights

Reliable news and clear information for everyday understanding.

news

What is chromogenic bacteria?

Written by Andrew Adams — 0 Views

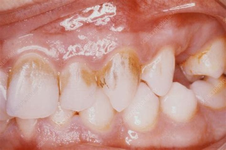
Chromogenic bacteria Baby teeth can develop a type of bacteria that causes brownish to black extrinsic stains on the surface of teeth. This discolouration usually goes away when permanent teeth come in but if it does not disappear then you should get your child to a dentist.

What is chromogenic bacteria example?

Chromogenic bacteria were proposed as an etiological factor in the production of black pigment. Periodontal pathogens such as Porphyromonas gingivalis, Prevotella intermedia, and Prevotella nigrescens are reported to be black-pigmented anaerobes in oral cavity[13].

What causes chromogenic bacteria on teeth?

Orange Stained Teeth

Orange tooth stains typically occur near the gum line and are caused by the presence of chromogenic (photographic) bacteria or food buildup. Children are especially prone to orange tooth stains, usually as a result of improper or infrequent brushing.

Is chromogenic bacteria harmful?

Among all oral diseases, teeth infection is a commonly encountered problem in dentistry with teeth blackening commonly seen in kids. One of the major causes of teeth blackening are the chromogenic bacteria which form biofilm in the teeth. So far there is no significant and safe treatment available for teeth blackening.

How do you treat chromogenic bacteria on teeth?

2. Toothbrushing with toothpaste: Effective toothbrushing twice or three times a day can remove bacteria that causes the staining from accumulating in the oral cavity. However, the use of specific whitening toothpaste is not necessary.

Chromogenic Bacteria That Stain Teeth

24 related questions found

Is chromogenic bacteria permanent?

Chromogenic bacteria

This discolouration usually goes away when permanent teeth come in but if it does not disappear then you should get your child to a dentist. This type of bacteria can only be treated by a dentist.

How do you remove black bacteria from teeth?

Use a tartar control toothpaste that's designed to remove as much plaque as possible. Clean between your teeth once a day. Use a water flosser or interdental brush to get between your teeth and under your gum line to remove irritants like bacteria and food debris and help reduce inflammation.

How do you get rid of chromogenic stain?

Baking soda toothpaste seems to be best for stain removal. Bacteria called chromogenic (colored) bacteria may cause a dark green or brown stain on the teeth. This stain is usually along the gum line. These bacteria are harmless and will one day just disappear.

How do you clean stained teeth?

Using a paste made of baking soda and hydrogen peroxide is said to remove plaque buildup and bacteria to get rid of stains. Mix 1 tablespoon of baking soda with 2 tablespoons of hydrogen peroxide to make a paste. Rinse your mouth thoroughly with water after brushing with this paste.

Which of the following stains are associated with chromogenic bacteria?

Green and orange stains are typically found in patients with poor hygiene when certain chromogenic bacteria are present. Brown stains are common and could be due to a number of causes, such as tobacco and foods/beverages.

Can lack of vitamins cause tooth decay?

Numerous studies have shown that vitamin D deficiency also increases the risk of dental decay. This is because vitamin D helps the body absorb calcium and phosphate — both of which are crucial for building and keeping strong tooth enamel.

What causes black pigmentation on teeth?

Some of the most common causes of a black or brown spot on your tooth may be due to the following: tooth decay or a cavity. an injury to the affected tooth. tartar buildup on the tooth.

What causes black line on teeth?

These black lines on teeth are actually just a form of tartar, also called dental calculus. Tartar forms when oral plaque absorbs minerals from the saliva and essentially becomes fossilized. This buildup won't be removed by brushing or other home hygiene procedures.

What causes staining?

They are caused by the chemical or physical interaction of two dissimilar materials. Accidental staining may make materials appear used, degraded or permanently unclean. Intentional staining is used in biochemical research and for artistic effect, such as wood staining, rust staining and stained glass.

What's best to whiten your teeth?

Hydrogen peroxide is a mild bleach that can help to whiten stained teeth . For optimal whitening, a person can try brushing with a mix of baking soda and hydrogen peroxide for 1–2 minutes twice a day for a week.

Can dentists remove black stains?

Getting professional treatment for black stains from a trusted dentist is the most effective way to remove stains. If your kid's tooth stains are caused by tartar or a cavity, a visit to the dentist is necessary. A dentist will use professional tools to scrape away tartar and plaque safely.

Is baking soda good for teeth?

Baking soda is good for teeth whitening because it is a very mild abrasive, which helps remove stains from the surface of your teeth. In addition, baking soda is alkaline and salty, which helps lighten acid-based food stains – such as those from coffee, tea, and red wine – on teeth.

Is hydrogen peroxide safe for teeth?

Is Hydrogen Peroxide Safe For Teeth? (According to Science) Yes, both hydrogen peroxide and carbamide peroxide are safe for your teeth, according to science. At-home teeth bleaching products typically contain 5 to 10 percent hydrogen peroxide or 35 percent carbamide peroxide.

Is baking soda bad for your teeth?

Baking Soda for Teeth Whitening

Pro: Baking soda is a mild abrasive that can remove surface stains and yellowing. It has a lower hardness than other abrasive materials used to whiten teeth. Con: It can still wear away your enamel and damage your teeth and gums with improper use.

Are black spots always cavities?

Dark spots on our teeth need not always be cavities. Naturally occurring dark spots caused by staining of the teeth are a common condition that very often goes undetected. Tooth discoloration is usually present in the very small pits and ridges on the surface of human teeth.

What is oxygenating mouthwash?

One of the main benefits of hydrogen peroxide mouthwash is that it is an oxygenating mouthwash - meaning it supplies oxygen to the mouth. This oxygen supply is especially beneficial in ridding the mouth of harmful anaerobic (low oxygen) bacteria, as this bacteria cannot survive in an aerobic (high oxygen) environment.

What causes cavities?

Cavities are permanently damaged areas in the hard surface of your teeth that develop into tiny openings or holes. Cavities, also called tooth decay or caries, are caused by a combination of factors, including bacteria in your mouth, frequent snacking, sipping sugary drinks and not cleaning your teeth well.

What is the black in between teeth?

The bottom line. Black triangles called open gingival embrasures can form between your teeth when your gums pull away from your teeth. Age, harsh dental hygiene methods, gum disease, bone loss, and the size and shape of your teeth and gums can all contribute to the formation of these triangles.

Does a black tooth need to be removed?

Sometimes, a tooth may be so damaged or decayed that it cannot be saved. In these instances, a dentist may recommend removing the tooth. Black teeth that are severely stained may be treated with professional stain removal and teeth whitening.

How do you know if your teeth are rotting?

Along with a hole, other signs of a rotten tooth include:
  1. toothache.
  2. sensitivity to hot or cold.
  3. brown, black, or white spots on the tooth.
  4. bad breath.
  5. unpleasant taste in the mouth.
  6. swelling.