Common Ground Insights

Reliable news and clear information for everyday understanding.

science

What is crenated cell?

Written by Sarah Scott — 0 Views

In biology, crenation describes the formation of abnormal notched surfaces on cells as a result of water loss through osmosis. ... The cells start to shrivel and form abnormal spikes and notches on the cell membrane. This process is called crenation.

What causes Crenated cells?

Crenated erythrocytes are most commonly caused by excess EDTA (underfilled collection tube), but may also be caused by (a) slow drying, (b) drying in a humid environment, or (c) an alkaline pH from glass slides. When crenation is an artifact, most cells on the slide will exhibit this characteristic.

What is meant by crenation?

1a : a crenate formation especially : one of the rounded projections on an edge (as of a coin) b : the quality or state of being crenate. 2 : shrinkage of red blood cells resulting in crenate margins.

Is crenation hypertonic or hypotonic?

A red blood cell will swell and undergo hemolysis (burst) when placed in a hypotonic solution. When placed in a hypertonic solution, a red blood cell will lose water and undergo crenation (shrivel).

Are Crenated cells dead?

In crenation, the cells shrink and their shapes become distorted, often with a ruffled or scalloped edge. The change in cell shape can be seen in microscopy of the cells, and can be a sign that someone is experiencing a medical problem. These cells may die as a result of impairments in cell function.

What is CRENATION? What does CRENATION mean? CRENATION meaning, definition & explanation

26 related questions found

What happens during crenation?

crenation The shrinkage of cells that occurs when the surrounding solution is hypertonic to the cellular cytoplasm. Water leaves the cells by osmosis, which causes the plasma membrane to wrinkle and the cellular contents to condense.

Why are red blood cells Crenated?

When a red blood cell is placed in a hypertonic solution, such as a highly saline environment, there is a lower concentration of solute particles inside the cell than outside in the extracellular space. ... As water leaves the cell, it shrinks and develops the notched appearance characteristic of crenation.

What is crenation lysis?

Crenation – cell shrinks by osmosis because H2O leaves cell. solution is HYPERtonic (hyper – means excess, hypo – means insuffient. Crenation (opposite of Lysis -cell swells/destroyed/hypotonic)

What determines tonicity?

Tonicity depends only on the concentration of nonpenetrating solutes, so any solution of pure glucose will be hypotonic, no matter what its osmolarity, and tonicity describes only the change in cell volume at equilibrium.

How is crenation different from hemolysis?

is that hemolysis is (medicine) the destruction of red blood cells, and subsequent release of hemoglobin, at the normal end of the cell's life while crenation is the contraction of, or formation of abnormal notchings around, the edges of a cell after exposure to a hypertonic solution, due to the loss of water through ...

What is a crenated red blood cells?

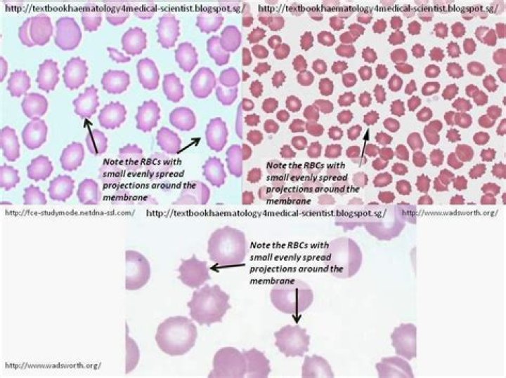
Burr cells are crenated red cells, also known as echinocytes. Crenated red cells have changed from a disc shape to spheres covered with short, sharply pointed projections. they are usually artefactual but may be seen in conditions such as uraemia, GI bleeding and stomach carcinoma.

What is Lyse in biology?

(LY-sis) In biology, lysis refers to the breakdown of a cell caused by damage to its plasma (outer) membrane. It can be caused by chemical or physical means (for example, strong detergents or high-energy sound waves) or by infection with a strain virus that can lyse cells.

What does Crenation mean in anatomy?

noun. a rounded projection or tooth, as on the margin of a leaf. Anatomy. (in erythrocytes) the state of being or becoming shrunken with a notched or indented edge.

What Spherocytes mean?

Specialty. Hematology. Spherocytosis is the presence in the blood of spherocytes, i.e erythrocytes (red blood cells) that are sphere-shaped rather than bi-concave disk shaped as normal. Spherocytes are found in all hemolytic anemias to some degree.

What is Anisocytosis and Poikilocytosis?

The term anisopoikilocytosis is actually made up of two different terms: anisocytosis and poikilocytosis. Anisocytosis means that there are red blood cells of varying sizes on your blood smear. Poikilocytosis means that there are red blood cells of varying shapes on your blood smear.

Is Polychromasia serious?

Key takeaways. Polychromasia can be a sign of a serious blood disorder, such as hemolytic anemia or blood cancer. Polychromasia, as well as the specific blood disorders that cause it, can be diagnosed via a blood smear test. There are no symptoms for polychromasia itself.

Does urea affect tonicity?

The concepts of osmolarity and tonicity are often confused by students as impermeant isosmotic solutes such as NaCl are also isotonic; however, isosmotic solutes such as urea are actually hypotonic due to the permeant nature of the membrane.

What's the difference between tonicity and osmolarity?

Osmolarity and tonicity are related but distinct concepts. ... The terms are different because osmolarity takes into account the total concentration of penetrating solutes and non-penetrating solutes, whereas tonicity takes into account the total concentration of non-freely penetrating solutes only.

What is the tonicity of water?

The ability of an extracellular solution to make water move into or out of a cell by osmosis is known as its tonicity. Tonicity is a bit different from osmolarity because it takes into account both relative solute concentrations and the cell membrane's permeability to those solutes.

What is Rouleaux formation?

Rouleaux formation is the linking of RBCs into chains resembling stacks of coins. Some rouleaux is normal in dogs, and more occurs in normal cats. Increased rouleaux formation in canine blood smears is associated with an increase in fibrinogen or acute phase proteins and is usually seen in inflammatory diseases.

What tonicity causes Plasmolysis of plant cells?

Plasmolysis is the process in which cells lose water in a hypertonic solution. The reverse process, deplasmolysis or cytolysis, can occur if the cell is in a hypotonic solution resulting in a lower external osmotic pressure and a net flow of water into the cell.

What is transported in exocytosis?

Exocytosis (/ˌɛksoʊsaɪˈtoʊsɪs/) is a form of active transport and bulk transport in which a cell transports molecules (e.g., neurotransmitters and proteins) out of the cell (exo- + cytosis). As an active transport mechanism, exocytosis requires the use of energy to transport material.

How do you tell if red blood cells are Crenated?

Crenation is also used to describe a feature of red blood cells. These erythrocytes look as if they have projections extending from a smaller central area, like a spiked ball.

What happens when cells lyse?

To lyse is to break apart a larger particle into smaller pieces. Lysis, or the process of lysing, can occur both inside and outside of the cell. While localized lysis can result in a tiny puncture of a cell wall or cell membrane, harsher chemical lyses result in the expulsion of all cellular contents and cell death.

What lysed means?

1 : the gradual decline of a disease process (such as fever) 2 : a process of disintegration or dissolution (as of cells)