Common Ground Insights

Reliable news and clear information for everyday understanding.

technology

What is histiocytic lymphoma?

Written by David Craig — 1 Views

Medical Definition of histiocytic lymphoma : a non-Hodgkin lymphoma marked by the presence of large cells that morphologically resemble histiocytes but are typically of B or T cell origin. — called also histiocytic sarcoma, reticulum cell sarcoma, reticulosarcoma.

What is histiocytic lymphoma also known as?

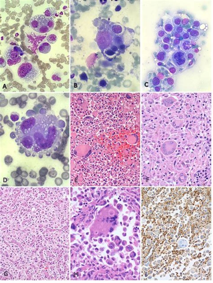
Immunoblastic lymphoma (IBL), also known as diffuse histiocytic lymphoma, is a malignant disorder of the B cell (see the image below).

What is the most aggressive form of lymphoma?

Burkitt lymphoma is considered the most aggressive form of lymphoma and is one of the fastest growing of all cancers.

What is Histiocytic?

Histiocytosis is a generic name for a group of syndromes characterized by an abnormal increase in the number of certain immune cells called histiocytes. These include monocytes, macrophages, and dendritic cells.

What does Histiocytic mean in medical terms?

Medical Definition of histiocytosis

: abnormal multiplication of macrophages Langerhans cell histiocytosis broadly : a condition characterized by such multiplication.

Histiocytic disorders

19 related questions found

What does a Histiocyte look like?

In smears, the typical histiocyte is easily identified by its size, eccentric round or bean-shaped nucleus, and lightly stained lacy cytoplasm (Fig. 19.43). Because histiocytes are phagocytic, their cytoplasm may contain leukocytes, nuclear particles (Fig.

What are the warning signs of lymphoma?

Signs and symptoms of lymphoma may include:
  • Painless swelling of lymph nodes in your neck, armpits or groin.
  • Persistent fatigue.
  • Fever.
  • Night sweats.
  • Shortness of breath.
  • Unexplained weight loss.
  • Itchy skin.

Can you live 20 years with lymphoma?

Most people with indolent non-Hodgkin lymphoma will live 20 years after diagnosis. Faster-growing cancers (aggressive lymphomas) have a worse prognosis. They fall into the overall five-year survival rate of 60%.

What type of lymphoma is not curable?

Most patients with Hodgkin lymphoma live long and healthy lives following successful treatment. Although slow growing forms of NHL are currently not curable, the prognosis is still good.

What is the most common early symptom of lymphoma?

The most common symptoms of lymphoma are:
  • Swollen lymph nodes.
  • Fatigue.
  • Unexplained weight loss.
  • Sweats.
  • Itching.

How long could you have lymphoma without knowing?

These grow so slowly that patients can live for many years mostly without symptoms, although some may experience pain from an enlarged lymph gland. After five to 10 years, low-grade disorders begin to progress rapidly to become aggressive or high-grade and produce more severe symptoms.

Does lymphoma run in families?

Non-Hodgkin lymphoma isn't infectious and isn't thought to run in families, although your risk may be slightly increased if a first-degree relative (such as a parent or sibling) has had lymphoma.

What if neutrophils are high?

If your neutrophil counts are high, it can mean you have an infection or are under a lot of stress. It can also be a symptom of more serious conditions. Neutropenia, or a low neutrophil count, can last for a few weeks or it can be chronic.

What does Anisocytosis mean in a blood test?

Anisocytosis is a condition when the red blood cells are unequal in size. “Aniso” means unequal, and “cytosis” refers to the movement, features, or number of cells. Anisocytosis itself is a nonspecific term, as there are several different ways in which cells can be unequal.

Where is lymph connective tissue found?

The most diffuse lymphoid tissue is found in the loose connective-tissue spaces beneath most wet epithelial membranes, such as those that line the gastrointestinal tract and the respiratory system.

Is lymphoma a death sentence?

Myth #1: A diagnosis of lymphoma is a death sentence.

Treatments are very effective for some types of lymphoma, particularly Hodgkin's lymphoma, when detected early on. In fact, medical advances over the last 50 years have made Hodgkin's lymphoma one of the most curable forms of cancer.

Which lymphoma has the highest survival rate?

There are very few cancers for which doctors will use the word 'cure' right off the bat, but Hodgkin lymphoma (HL), the most common cancer diagnosis among children and young adults, comes pretty darn close: Ninety percent of patients with stages 1 and 2 go on to survive 5 years or more; even patients with stage 4 have ...

What foods help fight lymphoma?

Choose protein-rich foods.
  • Lean meats such as chicken, fish, or turkey.
  • Eggs.
  • Low-fat dairy products such as milk, yogurt, and cheese or dairy substitutes.
  • Nuts and nut butters.
  • Beans.
  • Soy foods.

Where does lymphoma usually start?

Most commonly, non-Hodgkin lymphoma starts in a lymph node at one or more places in the body. It can spread through the lymphatic system from one group of lymph nodes to another. It can also spread to other lymph tissue, particularly in the bone marrow and spleen, or to lymph nodes in the liver.

What can be mistaken for lymphoma?

Conditions that non-Hodgkin Lymphoma is commonly misdiagnosed as include:
  • Influenza.
  • Hodgkin's lymphoma.
  • Cat scratch fever.
  • HIV.
  • Infections.
  • Mononucleosis.

What are the 3 main types of lymphoma?

Types of lymphoma
  • Lymphoma in children and young people. Some types of lymphoma are more common in children and young people than in adults, and they can be treated differently. ...
  • Hodgkin lymphoma. ...
  • Non-Hodgkin lymphoma. ...
  • Chronic lymphocytic leukaemia (CLL) and small lymphocytic lymphoma (SLL)

What is the difference between histiocyte and macrophage?

The macrophage is the final stage of development in the monocyte lineage. It is a phagocyte whose roles include the removal of dead and dying tissue and the destruction and ingestion of invading organisms. ... A histiocyte is a less phagocytic form of a macrophage with fewer lysosomal granules.

Are macrophages and histiocytes the same?

Histiocyte and dendritic cell lineages

DCs, monocytes, and macrophages are members of the mononuclear phagocyte system,2 whereas a histiocyte is a morphological term referring to tissue-resident macrophages. Macrophages are large ovoid cells mainly involved in the clearance of apoptotic cells, debris, and pathogens.

Are histiocytes white blood cells?

Histiocyte cells are a form of white blood cells that help the immune system destroy foreign materials and fight infection. The extra immune cells produced by this condition may form tumors, which can affect parts of the body like the bones and possibly spread to other areas.