Common Ground Insights

Reliable news and clear information for everyday understanding.

economy

What is protozoal myeloencephalitis?

Written by Ava Barnes — 0 Views

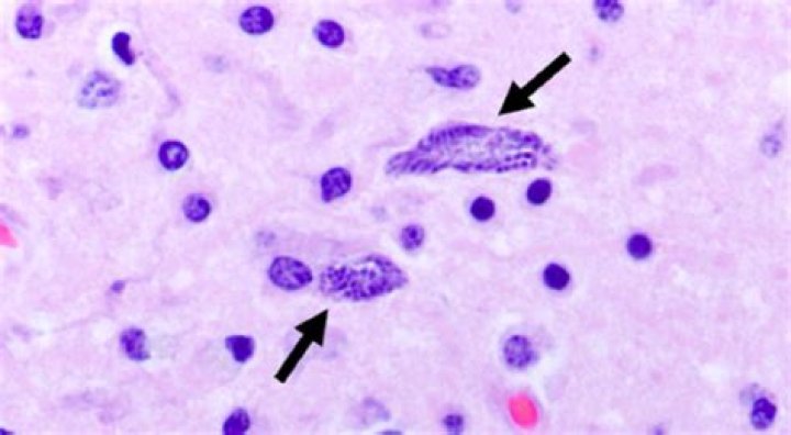
Equine protozoal myeloencephalitis, is a disease caused by the apicomplexan parasite Sarcocystis neurona that affects the central nervous system of horses.

How do you treat protozoal myeloencephalitis in horses?

EPM is treated with antiprotozoal drugs and immunomodulators. Equine protozoal myeloencephalitis (EPM) is a common neurologic disease of horses in the Americas; it has been reported in most of the contiguous 48 states of the USA, southern Canada, Mexico, and several countries in Central and South America.

What causes equine protozoal myeloencephalitis?

Equine protozoal myeloencephalitis (EPM) is caused by the protozoal parasites Sarcocystis neurona and Neospora hughesi, although most cases are due to S. neurona. The definitive host for S. neurona is the opossum, and horses become infected when they ingest feed or water contaminated with opossum feces.

What are symptoms of EPM?

Learn to Recognize the Symptoms of EPM
  • Ataxia (incoordination), spasticity (stiff, stilted movements), abnormal gait or lameness.
  • Incoordination and weakness which worsens when going up or down slopes or when head is elevated.

Can humans get equine protozoal myeloencephalitis?

Yes. People can get sarcocystosis. They acquire the disease by ingesting (oral) the protozoan, most common- ly through undercooked meat prod- ucts. Disease in humans can involve either intestinal infection or muscular invasion by the parasite.

Equine Protozoal Myeloencephalitis (EPM)

19 related questions found

Do opossums carry a disease that kills horses?

Bottom line: Yes, opossums are the culprit that transmits the causative parasite of EPM to horses.

How common is equine protozoal myeloencephalitis?

hughesi have been found in 21 states and, in some locations, up to 20% of horses may be seropositive to this organism. Luckily, only a very small percentage of horses seropositive to either parasite ever develop the disease we call EPM. The actual disease rate or incidence is difficult to estimate.

What is the treatment for EPM?

A six-month course of antibiotic (trimethoprim-sulfonamide) and antiprotozoal agent (pyrimethamine). A 28-day course of antiprotozoal (ponazuril). Horses may need a second round of ponazuril in some cases. This is the only FDA-approved treatment for EPM.

How serious is EPM in horses?

The onset of the disease may be slow or sudden. If left undiagnosed and untreated, EPM can cause devastating and lasting neurological damage. The clinical signs of EPM can be quite varied. Clinical signs are usually asymmetrical (not the same on both sides of the horse).

How can you prevent EPM?

To prevent EPM, opossums should be kept out of the barn and especially away from sources of hay, feed, and water. Keeping cats or dogs loose in the barn might help discourage midnight raids by opossums on the feed.

How do you prevent equine protozoal myeloencephalitis?

Therefore, picking up dead skunks, raccoons, armadillos or cats on your property and disposing the carcasses to prevent opossums from eating them may prevent many sporocysts from contaminating the environment and hence reduce the incidence of the disease.

Is opossum feces toxic to horses?

Answer: The disease is equine protozoal myeloencephalitis, or EPM, and is transmitted from opossums to horses when they eat or drink where infected opossums have defecated. The organism responsible for EPM is a parasite, Sarcocystis neurona, a protozoan or microscopic single-cell organism.

How do you treat a horse's kissing spine?

How are kissing spines treated? Treatment for kissing spines begins with making the horse more comfortable. This may be achieved through pain reduction, muscle relaxation, and exercises to stretch and strengthen back and abdominal muscles, stabilize posture, and improve mobility.

How do I know if my horse has Lyme disease?

One frequent sign of Lyme disease in horses is a vague lameness that shifts from limb to limb. An affected horse may also have general stiffness, fever, lethargy or weight loss. He may become sensitive and jumpy when touched or just be grumpy and perform poorly.

What causes neurological problems in horses?

Neurologic lameness, generally seen as ataxia, or incoordination, can be caused by bacterial, viral, protozoal, or rickettsial infections; trauma or congenital or developmental diseases; degenerative diseases or cancers affecting the brain or spinal cord; and toxicities.

What should I feed my horse with EPM?

High quality, highly palatable forage should be fed as many horses with EPM suffer weight loss. High fat and soluble fiber rations should be utilized when feeding horses that are recovering from EPM. Excellent quality protein and amino acids are required to help rebuild damaged nerve and muscle tissue.

Is it safe to ride a horse with EPM?

A Horses that recover completely can return to their original intended use. For horses that do recover, the improvement is based on the initial severity of the clinical signs (see box). However, not all horses that “improve” according to the clinical scale are able to be safely ridden again.

Is EPM genetic?

Genes that showed statistically significant differences in clinically positive horses were compared to those that were clinically negative, and the genes that showed a significant difference (those significantly up-regulated) would constitute the EPM-gene signature.

Can a horse get EPM twice?

A: The short answer is, yes, horses with equine protozoal myeloencephalitis (EPM) can relapse.

Can EPM be cured?

EPM has a poor prognosis for getting a horse back to use if parasites occupy the brain and spinal cord (CNS). The damage isn't reversible.

How fast does EPM progress?

Our results indicate that EPM can manifest as long as 90 days after the parasite has crossed the blood-brain barrier (data not shown), but in most of the challenged horses evidence of infection occurred within 30 days and ataxia was present by 60 days.

How much vitamin E does a horse with EPM need?

The nutrient that is most commonly focused on for horses with EPM is Vitamin E. Supplementation with high levels of natural Vitamin E are often encouraged, as Vitamin E is a potent antioxidant that supports nerve function and the immune system. Levels of 5,000 to 10,000 IU per day are recommended during treatment.

What is EPM horse UK?

Equine protozoal myeloencephalitis (EPM) is a common neurologic disease in horses in the USA. It is not generally seen in the UK, except in imported horses.

What does strangles do to horses?

Strangles is a highly contagious disease of the equine upper respiratory tract caused by the bacterium Streptococcus equi subspecies equi (S. equi). The bacteria cross mucous membranes in the nose and mouth to infect lymph nodes where they cause abscesses that can eventually rupture.

Do all possums carry EPM?

A few types of wild animals and all opossums can be the carrier of the protozoa for EPM. While other animals may carry the protozoa in their body, only opossums can transmit EPM.