Common Ground Insights

Reliable news and clear information for everyday understanding.

science

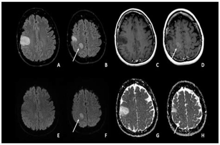
What is radionecrosis brain?

Written by David Craig — 0 Views

When brain tissue dies due to a reaction to radiotherapy it is called brain radionecrosis. Brain radionecrosis can cause damage to the patient's ability function. What this looks like depends where the radionecrosis has happened in the brain and it can impact on a patient's quality of life.

What causes necrosis in the brain?

Postirradiation cerebral necrosis, the most direct effect of CNS irradiation, is thought to result from direct effects of radiation on the replicating glial cell compartments and the capillary endothelial cells.

Can you survive brain necrosis?

The current study was performed to define prognostic factors for survival and the incidence of radiation necrosis in cerebral metastasized patients after treatment with stereotactic radiosurgery. The median overall survival was 282 days.

How is brain necrosis treated?

Methods: Although asymptomatic necrosis rarely needs treatment, brain necrosis resulting in neurologic change can be treated with steroids, surgery, bevacizumab and/or hyperbaric oxygen therapy.

What happens when you radiation the brain?

Radiation to the brain can also have side effects that show up later – usually from 6 months to many years after treatment ends. These delayed effects can include serious problems such as memory loss, stroke-like symptoms, and poor brain function.

What is Radiation Necrosis?

43 related questions found

How long can you live after brain radiation?

Whole-brain radiotherapy (wbrt) is the standard treatment for patients with brain metastases. Although wbrt can reduce neurologic symptoms, the median survival following wbrt is between 3 and 6 months.

How long does it take to recover from radiotherapy on the brain?

After treatment finishes, you may continue to feel tired for weeks or months. Radiotherapy to the brain can cause extreme tiredness 4 to 8 weeks after treatment. You may have very little energy, feel drowsy and spend a lot of time sleeping. It gradually gets better over a few weeks.

Can you recover from necrosis?

Necrotic tissue that is present in a wound presents a physical impediment to healing. Simply put, wounds cannot heal when necrotic tissue is present.

Which necrosis occurs in the brain?

In the brain

Tissues in all other mammalian body systems usually undergo cell death by coagulative necrosis in response to hypoxia.

What causes necrosis?

Necrosis is caused by a lack of blood and oxygen to the tissue. It may be triggered by chemicals, cold, trauma, radiation or chronic conditions that impair blood flow. 1 There are many types of necrosis, as it can affect many areas of the body, including bone, skin, organs and other tissues.

Is Radionecrosis reversible?

The acute vasogenic edema that develops from radiation therapy is a reversible problem.

How common is brain necrosis?

The incidence of radiation necrosis after the treatment of head and neck cancer (e.g., nasopharyngeal carcinoma), skull base neoplasms, or intracranial pathology (e.g., arteriovenous malformations, some tumors) is approximately 3 to 10%.

Is radiation necrosis progressive?

Background: There have been some reports that radiation necrosis can be controlled conservatively. There are rare cases showing progressive space-occupying radiation necrosis (PSORN). It is very difficult to control PSORN by conservative treatment.

What necrosis means?

Necrosis is the death of body tissue. It occurs when too little blood flows to the tissue. This can be from injury, radiation, or chemicals. Necrosis cannot be reversed. When large areas of tissue die due to a lack of blood supply, the condition is called gangrene.

What is the most common type of necrosis of the brain and spinal cord?

The term for the macroscopic (gross) appearance of necrosis in the brain and spinal cord is malacia. Neurons are generally the cells most susceptible to necrosis, especially from hypoxia or ischemia, and develop (early in the process of cell death) the morphologic features of coagulative necrosis.

Is necrosis serious?

Necrosis occurs due to external injury or trauma in a particular organ. Necrotic tissue is skin necrosis, in which many cells die in the same organ. It is considered to be a damaging health condition, as it can result in serious diseases like skin cancer.

How do you detect necrosis?

The necrotic tissue appears as white and friable, like clumped cheese. Dead cells disintegrate but are not completely digested, leaving granular particles. Microscopic examination shows amorphous granular debris enclosed within a distinctive inflammatory border. Some granulomas contain this pattern of necrosis.

How can you prevent necrosis?

To reduce your risk of avascular necrosis and improve your general health:
  1. Limit alcohol. Heavy drinking is one of the top risk factors for developing avascular necrosis.
  2. Keep cholesterol levels low. Tiny bits of fat are the most common substance blocking blood supply to bones.
  3. Monitor steroid use. ...
  4. Don't smoke.

Why is necrosis bad?

Cells release a bunch of hazardous molecules when they die by necrosis. A new theory describes that necrotic death and chronic inflammation may foster the onset and growth of tumors. We all shudder about untimely deaths or those that we were not prepared for. As such we perceive such “unscheduled” deaths as dangerous.

Is necrosis hereditary?

Most cases of avascular necrosis of the femoral head (ANFH) are not inherited in families. In a few rare families, ANFH is inherited in an autosomal dominant pattern. All individuals inherit two copies of each gene .

Is radiation to the brain painful?

Avoid sun exposure, which can worsen the irritation. Some short-term memory loss and difficulty thinking can occur if you are treated with whole-brain radiation therapy. Brain tissue swelling can develop during treatment. You may get a headache or feel pressure in your head if this occurs.

How many times can you have radiation on the brain?

Whole-brain radiation applies radiation to the entire brain in order to kill tumor cells. People undergoing whole-brain radiation usually require 10 to 15 treatments over two to three weeks. Side effects may include fatigue, nausea and hair loss.

How many times can you have radiotherapy on the brain?

You usually have one treatment (fraction) a day, from Monday to Friday, for between 3 to 6 weeks. This means that you have between 15 and 30 treatments of radiotherapy in total. You might have radiotherapy to help with symptoms or slow down the growth of your tumour.

What are the final stages of a brain Tumour?

These symptoms include drowsiness, headaches, cognitive and personality changes, poor communication, seizures, delirium (confusion and difficulty thinking), focal neurological symptoms, and dysphagia. Some patients may have several of these symptoms, while others may have none.

What is the success rate of whole brain radiation?

The median overall survival was 11 months. The median WBRT-free survival was 8.5 months (range 0.8–107.3 months) with 30% ultimately requiring salvage WBRT. One hundred and four patients (34%) survived beyond 1 year without the need for salvage WBRT, while 56 patients (18%) either died or required WBRT within 3 months.