Common Ground Insights

Reliable news and clear information for everyday understanding.

education

What is tortuosity of the thoracic aorta?

Written by Andrew Adams — 0 Views

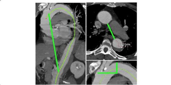
Tortuosity of the aorta was defined as the length of the midline within the aorta divided by the linear distance between the aortic root and the iliac bifurcation, and tortuosity of the ascending aorta was defined as the measured length of the ascending aorta divided by the linear distance between the aortic root and ...

What is the treatment for tortuous aorta?

Surgical Treatment of Tortuous Vessels

While many mild tortuous arteries are left untreated, severely tortuous arteries with clinical symptoms can be treated with reconstructive surgery [61]. Severely tortuous or kinking carotid arteries have often been treated by surgical shortening reconstruction [9, 113, 114].

What does it mean to have a tortuous aorta?

A tortuous aorta (meaning excessively twisted and turned) is often seen in older people. Although this is a sign of aging, it may not mean that it is causing or will cause any problems. However it can indicate an increased risk for other aortic diseases, such as aortic aneurysm.

What causes aortic tortuosity?

Arterial tortuosity syndrome is caused by mutations in the SLC2A10 gene and is inherited in an autosomal recessive manner. Arterial tortuosity syndrome is a connective tissue disorder.

Is a tortuous aorta an aneurysm?

In case with a highly tortuous descending aorta, a special type of descending aortic aneurysm may occasionally develop. In this report, an unusual type of descending aortic aneurysm is presented. The aneurysm's main body was in the right thoracic cavity.

Arteries of the Thorax (Thoracic Aorta)

18 related questions found

What does mild tortuosity of the thoracic aorta mean?

Tortuosity of the thoracic aorta on chest radiographs is characteristic of atherosclerotic disease. Aging and hypertension are associated with the tortuosity, but little is known about the influence of other atherosclerotic risk factors on this abnormality.

What is thoracic aorta?

The aorta is the largest artery in the body and is the blood vessel that carries oxygen-rich blood away from the heart to all parts of the body. The section of the aorta that runs through the chest is called the thoracic aorta and, as the aorta moves down through the abdomen it is called the abdominal aorta.

What is the meaning of tortuosity?

1 : the quality or state of being tortuous. 2 : something winding or twisted : bend.

What is thoracic aorta atherosclerosis?

Having atherosclerosis (say "ath-uh-roh-skluh-ROH-sis") of the aorta means that a material called plaque (fat and calcium) has built up in the inside wall of a large blood vessel called the aorta. This plaque buildup is sometimes called "hardening of the arteries."

Is arterial tortuosity syndrome curable?

Arterial tortuosity syndrome is caused by alterations ( mutations ) in the SLC2A10 gene and is inherited in an autosomal recessive fashion. Aneurysms and focal stenoses are corrected with surgery. Many specialists may be needed for the best management of the disorder.

What does the medical term tortuous mean?

Medical Definition of tortuous

: marked by repeated twists, bends, or turns a tortuous blood vessel.

What does the aorta in the heart do?

The aorta is the largest blood vessel in the body. This artery is responsible for transporting oxygen rich blood from your heart to the rest of your body. The aorta begins at the left ventricle of the heart, extending upward into the chest to form an arch.

How serious is atherosclerosis of the aorta?

When atherosclerosis narrows the arteries close to your heart, you may develop coronary artery disease, which can cause chest pain (angina), a heart attack or heart failure.

Is death by aortic aneurysm painful?

It is highly lethal and is usually preceded by excruciating pain in the lower abdomen and back, with tenderness of the aneurysm. Rupture of an abdominal aneurysm causes profuse bleeding and leads to shock. Death may rapidly follow.

Can you live a long life with an aortic aneurysm?

Yes, you can live with an aortic aneurysm, and there are many ways to prevent dissection (splitting of the blood vessel wall that causes blood to leak) or worse, a rupture (a burst aneurysm). Some aortic aneurysms are hereditary or congenital, such as bicuspid aortic valve, infection or inflammatory conditions.

What foods to avoid if you have aortic aneurysm?

Popular foods that are bad for your aortic health include the following:
  • Fatty meats, such as red meat.
  • Fried foods.
  • Refined, white carbohydrates.
  • Sugary drinks, such as soda.
  • Fatty oils, such as margarine and butter.
  • Processed, packaged foods.
  • High cholesterol foods.
  • Full-fat dairy products.

Can you live a long life with atherosclerosis?

This can lead to severe health events such as heart attack and stroke. Living healthy with atherosclerosis is possible, though, and it's important. Plaque, which is made up of fat, cholesterol and other substances, narrows the arteries and makes blood clots more likely to form.

Where does the thoracic aorta end?

The descending thoracic aorta begins at the lower border of the fourth thoracic vertebra and ends in front of the lower border of the twelfth thoracic vertebra, at the aortic hiatus in the diaphragm where it becomes the abdominal aorta.

What would happen if atherosclerosis is left untreated?

Left untreated, atherosclerosis can lead to heart attack, stroke, or even death. A slow, progressive disease that may start in childhood, atherosclerosis generally is preventable by eating a healthy diet, quitting smoking, losing weight, lowering blood pressure and LDL cholesterol levels, and getting more exercise.

What is the tortuous path?

full of twists, turns, or bends; twisting, winding, or crooked: a tortuous path. not direct or straightforward, as in procedure or speech; circuitous: tortuous negotiations lasting for months. deceitfully indirect or morally crooked, as proceedings, methods, or policy; devious.

Which is correct tortuous or torturous?

Tortuous means "marked by repeated bends, turns, or twists." It can also be used metaphorically to describe something deviously indirect or circuitous. Torturous, on the other hand, generally means "extremely unpleasant or painful," or metaphorically "painfully difficult."

What is tortuosity factor?

Tortuosity is a ratio that characterizes the convoluted pathways of fluid diffusion and electrical conduction through porous media. ... Tortuosity is also related to the formation factor, which is the ratio of electrical resistivity of a conductive fluid in a porous medium to the electrical resistivity of the fluid itself.

What is the most common cause of thoracic aortic aneurysm?

The most common cause of a thoracic aortic aneurysm is hardening of the arteries. This condition is more common in people with high cholesterol, long-term high blood pressure, or who smoke.

What does a thoracic aortic aneurysm feel like?

Symptoms of a thoracic aneurysm may include: Pain in the jaw, neck, or upper back. Pain in the chest or back. Wheezing, coughing, or shortness of breath as a result of pressure on the trachea (windpipe)

What doctor treats thoracic aortic aneurysm?

If you have this type of aneurysm, the Penn Vascular Surgery and Endovascular Therapy team will provide your care. Thoracoabdominal Aortic Aneurysms extend from the chest to the abdomen. Cardiac surgeons work collaboratively with vascular surgeons to manage these aneurysms.