Common Ground Insights

Reliable news and clear information for everyday understanding.

news

What is vertebral hemangiomas?

Written by David Craig — 0 Views

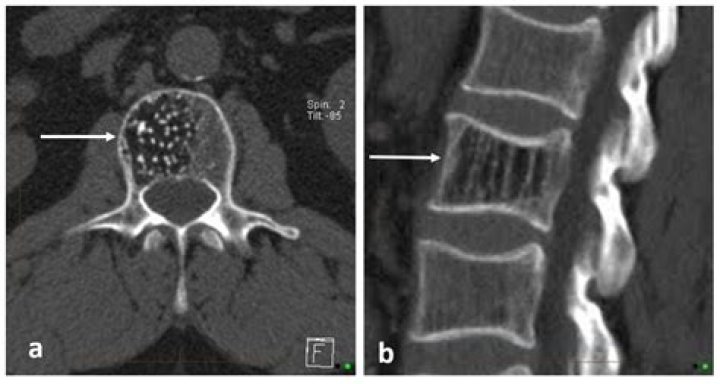
Vertebral hemangiomas or haemangiomas are a common vascular lesion found within the vertebral body of the thoracic and lumbar spine. These are predominantly benign lesions that are often found incidentally during radiology studies for other indications and can involve one or multiple vertebrae.

What causes vertebral hemangiomas?

Thoracic vertebral haemangiomas are reported to produce neurological symptoms more often than lumbar. This is thought to be due to the less accommodative ratio of the spinal cord to the canal in the thoracic segment, and the presence of normal thoracic kyphosis, both of which may facilitate early compression.

Is vertebral hemangioma serious?

If left untreated, symptomatic hemangiomas can cause serious neurological effects. At UPMC, we treat hemangiomas with surgical removal (resection) of the tumor or the affected vertebra, and radiation therapy to treat pain. Ethanol injections and laminectomy may also be performed.

Can vertebral hemangiomas cause pain?

Symptoms of spinal hemangioma

They're often discovered accidentally during an X-ray or other imaging test of your spine. When hemangioma symptoms do occur, they may include back pain, pain that radiates outward from your back and numbness or weakness.

What is vertebral hemangioma?

Hemangiomas, Benign: Hemangiomas are non-cancerous (benign) tumors made of abnormal blood vessels. They are common and can occur anywhere in the body. Most hemangiomas of bone are in the spine and are found more often with advancing age.

Spine Injury Animation with Hemangioma

35 related questions found

When does a hemangioma need treatment?

Most hemangiomas go away by age 3 to 5 and do not require any treatment. Your child's physician will recommend treatment if the hemangioma: obstructs vital functions like breathing or vision due to its location.

Can hemangiomas be removed?

Hemangiomas can be removed with surgery or by using laser treatment. Both procedures are safe and effective. In many cases laser treatment is preferable because it does not typically leave a scar.

Can vertebral hemangiomas be malignant?

The diagnosis of vertebral hemangioma is very crucial and can be challenging in some cases. It may mimic malignant lesions in both clinical and radiological behavior [7]. Hemangiomas can be aggressive, compressing the spinal cord with paraparesis and spasticity as in our case.

Can a hemangioma cause nerve pain?

Common Symptoms of Hemangioma

Spinal hemangiomas may cause back pain where they are located. They can also cause pain or discomfort that radiates along a nerve. This is due to the pressure being placed on that nerve or inflammation from the tumor irritating adjacent tissues.

Is a vertebral hemangioma a tumor?

Vertebral hemangiomas are the most common benign tumor of the spine column. They typically occur in mid-life – peak incidence is in the 50s, and more often in women than in men.

What kind of doctor removes hemangioma?

The team approach to hemangioma should, at the least, include pediatric dermatology and plastic surgery specialists.

What are the two types of hemangiomas?

The two main types of infantile hemangiomas are:
  • Superficial hemangiomas, or cutaneous ("in-the-skin") hemangiomas, grow on the skin surface. ...
  • Deep hemangiomas grow under the skin, making it bulge, often with a blue or purple tint.

Can a hemangioma of the spine be caused by trauma?

Capillary haemangiomas are well-circumscribed aggregates of closely packed, thin-walled capillaries separated by connective tissue stroma. In subcutaneous tissue they are termed pyogenic granuloma and commonly follow trauma. They rarely occur in the spine.

Can spinal hemangiomas be misdiagnosed?

Unfortunately, not all hemangiomas have the typical appearance, and they can mimic metastases on routine MR imaging. These are generally referred to as atypical hemangiomas and can result in misdiagnosis and ultimately additional imaging, biopsy, and unnecessary costs.

What is a hemangioma in the l1 vertebral body?

Hemangiomas are benign vascular tumors associated with proliferation of blood vessels in bone or soft tissue and they are usually incidental findings in vertebrae. When symptomatic, they present with features of radiculopathy, myelopathy, or vertebral fractures.

What hemangioma mean?

A hemangioma (he-man-jee-O-muh) is a bright red birthmark that shows up at birth or in the first or second week of life. It looks like a rubbery bump and is made up of extra blood vessels in the skin. A hemangioma can occur anywhere on the body, but most commonly appears on the face, scalp, chest or back.

Can hemangioma occur in adults?

Hemangiomas can form during adulthood. In adults, this benign growth of blood vessels is a cherry angioma. The round, cherry-red spots may be smooth or raised. They typically appear on a person's trunk after age 30.

Where is L2 in the spine?

Located just below the L1, the L2 vertebra is the second vertebra in your lumbar, or lower back, region. It's among the largest of the bones in your spinal column, which gets wider as it goes lower.

Can a hemangioma burst?

Hemangiomas are common benign tumors of the liver. Spontaneous rupture is a rare complication, occurring most commonly in giant hemangiomas. Rupture of a hemangioma with hemoperitoneum is a serious development and can be fatal if not managed promptly.

Do spinal hemangiomas go away?

Proliferation subsequently causes a displacement of bone and in rarer cases erosion into the spinal canal. Unlike infantile hemangiomas, hemangiomas of the spine do not spontaneously regress.

What are symptoms of a spinal tumor?

Vertebral tumor signs and symptoms may include:
  • Pain at the site of the tumor due to tumor growth.
  • Back pain, often radiating to other parts of your body.
  • Back pain that's worse at night.
  • Loss of sensation or muscle weakness, especially in your arms or legs.
  • Difficulty walking, sometimes leading to falls.

What is an aggressive hemangioma?

Aggressive vertebral hemangiomata are a rare form of vertebral hemangiomata where significant vertebral expansion, extra-osseous component with epidural extension, disturbance of blood flow, and occasionally compression fractures can be present causing spinal cord and/or nerve root compression 1,2.

Can hemangiomas grow back?

Some hemangiomas grow back after removal, unlike other benign growths, which do not return after surgery. Large liver hemangiomas in infants can lead to heart issues due to their effect on blood vessels.

How do I know if my hemangioma is going away?

And they usually begin to shrink (involution phase) around 1 year of age. As the lesion shrinks, the color may change from red to purple and gray. It may take several years for the hemangioma to go away completely. Larger lesions take a longer time to go away and have a greater chance of scarring.

Is Hemangiopericytoma malignant?

Hemangiopericytomas can be either benign (non-cancerous) or malignant (cancerous). Malignant hemangiopericytomas can metastasize or spread to other areas in the body, primarily the lungs and bones.