Common Ground Insights

Reliable news and clear information for everyday understanding.

science

What testes are located in the?

Written by Liam Parker — 0 Views

Anatomy of the testis Testicles, or testes, are oval-shaped organs located in the scrotum, just behind the penis and right in front of the anus on male humans.

Where are the testes located at?

Testes (testicles).

The testes are 2 small organs that are found inside the scrotum. The testes make sperm. They also help produce a hormone called testosterone. Testosterone is an important hormone during male development and maturation.

What are the testes where they located and what are their functions?

The testes are oval organs about the size of very large olives that lie in the scrotum, secured at either end by a structure called the spermatic cord. Most men have two testes. The testes are responsible for making testosterone, the primary male sex hormone, and for producing sperm.

Where are the testes located in a pig?

The testes are housed in the scrotal sacs which are located in the posterior pelvic cavity. The testes are the site of sperm production and maturation. Lying directly on top of the testes is the coiled epididymis where mature sperm is stored prior to ejaculation.

What is the epididymis?

The epididymis is a narrow, tightly-coiled tube connecting rear of the testicles to the deferent duct (ductus deferens or vas deferens). The epididymis consists of three parts: head, body, and tail. The head of the epididymis is located on superior pole of testis. It stores sperm for maturation.

Human Physiology - Functional Anatomy of the Male Reproductive System (Updated)

20 related questions found

What are testes?

Listen to pronunciation. (TES-tis) One of two egg-shaped glands inside the scrotum that produce sperm and male hormones. Also called testicle.

What are testes located outside the abdominal cavity?

Solution: The testes is located outside the abdominal cavity because sperm formation requires a temperature lower than the body temperature. It is because scrotum has a temperature 1-3 degree Celsius lower than the normal body temperature, which is essential for the production of sperm or male gametes.

What is the area under the balls called?

The perineum protects the pelvic floor muscles and the blood vessels that supply the genitals and urinary tract. The perineum also protects the nerves used to urinate or have an erection. In males, the perineum is the area between the anus and the scrotum.

Where is a man's taint located?

Both men and women have a perineum, or "taint," located between the anus and genitals. For men, the perineum is especially sensitive because beneath this small patch of nerve endings lies the prostate - or, as some call it, the "Male G-Spot." If your man is open to it, a whole new world of sexual pleasure awaits him.

What's inside a man's testicle?

Each testicle is covered by tough, fibrous layers of tissue called the tunica. The outer layer is called the tunica vaginalis and the inner layer is called the tunica albuginea. The testicle is divided into parts called lobules. Each lobule contains tiny U-shaped tubes called seminiferous tubules.

Where is the epididymis located?

Epididymis. A long tube that is located near each testicle. The epididymis is the tube which moves the sperm from the testicles.

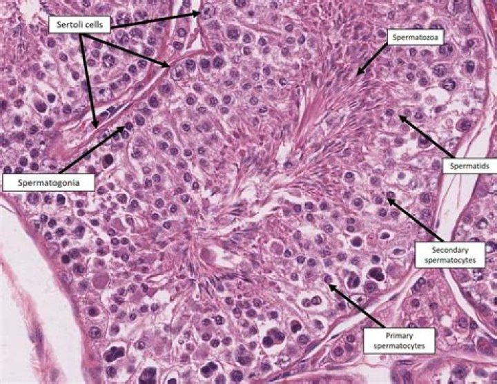
Where is Sertoli cells located?

Sertoli cells are located in seminiferous tubules.

What are the abdominal cavity?

abdominal cavity, largest hollow space of the body. ... Vertically it is enclosed by the vertebral column and the abdominal and other muscles. The abdominal cavity contains the greater part of the digestive tract, the liver and pancreas, the spleen, the kidneys, and the adrenal glands located above the kidneys.

Which cells are produced by testes?

The testes contain germ cells that differentiate into mature spermatozoa, supporting cells called Sertoli cells, and testosterone-producing cells called Leydig (interstitial) cells.

Which organs are located in the abdominal cavity?

The abdomen contains many vital organs: the stomach, the small intestine (jejunum and ileum), the large intestine (colon), the liver, the spleen, the gallbladder, the pancreas, the uterus, the fallopian tubes, the ovaries, the kidneys, the ureters, the bladder, and many blood vessels (arteries and veins).

What is located in the pelvic cavity?

The pelvic cavity is a funnel-shaped space surrounded by pelvic bones and it contains organs, such as the urinary bladder, rectum, and pelvic genitals, to name a few. The pelvic cavity and the abdominal cavity together form the larger abdominopelvic cavity.

What is visceral peritoneum?

Listen to pronunciation. (VIH-seh-rul PAYR-ih-toh-NEE-um) The layers of tissue that cover the outer surface of most organs in the abdomen, including the intestines.

In which organ are Leydig cells and Sertoli cells located?

structure of testis

The Sertoli cells, which are interspersed between the germinal epithelial cells within the seminiferous tubules, are analogous to the granulosa cells in the ovary, and the Leydig cells, which…

Which cell type is located outside the blood testis barrier?

Preleptotene spermatocytes and spermatogonia are germ cells located outside the blood-testis barrier provided by the Sertoli cells. These cells have been found to express autoantigens accessible to circulating antibodies.

What is the location and function of Sertoli cells and Leydig cells?

Sertoli cells, which provide the anchor for germ cell development, are restricted to the tubular compartment of the testis, whereas Leydig cells are present in the intertubular/interstitial space. The Sertoli cells express functional receptors for FSH, whereas the Leydig cells express LH receptors.

Do sperm and urine come out of the same hole?

The glans penis is the slightly larger area towards the end of the penis and contains the opening of the urethra. The urethra. This is the tube which passes from the bladder down the penis to the outside. It carries both urine and semen.

What happens to guys balls when cold?

Cold temperatures cause the scrotum and testicles to retreat up toward the body. A hot shower or high temperatures that cause your body temperature to increase will in turn cause your testicles to hang lower.

Why does a man's balls tighten up?

The scrotum also moves in response to heat to protect the delicate testicles and sperm inside. In doing so, it helps keep the sperm viable by preventing them from becoming too warm or too cold. In cold weather, the skin tightens up as the cremaster muscle pulls the testicles toward the body to keep them warm.

What happens when Guy gets turned on?

When a male is aroused sexually, the blood vessels in the penis relax and open up, allowing blood to fill them. Blood trapped under high pressure creates an erection. Ejaculation is a reflex action controlled by the central nervous system.

How long does it take your balls to refill?

Your testicles are constantly producing new sperm in spermatogenesis. The full process takes about 64 days. During spermatogenesis, your testicles make several million sperm per day — about 1,500 per second.