Common Ground Insights

Reliable news and clear information for everyday understanding.

culture

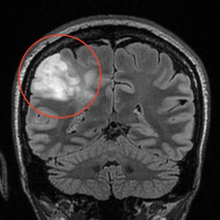
Where can oligodendroglioma be found?

Written by Emily Phillips — 0 Views

Oligodendrogliomas are commonly found in the white matter and the outer layer of the brain, called the cortex, but can form anywhere in the CNS. These tumors are called oligodendrogliomas because the cells resemble oligodendrocytes, a type of brain cell that supports and insulates nerve fibers in the CNS.

How common are Oligodendrogliomas?

How common are oligodendrogliomas? Oligodendrogliomas are rare. Doctors diagnose them in about 1,200 people in the United States every year. Oligodendrogliomas make up about 4% of all primary brain tumors.

Where are brain tumors mostly found?

Their most common locations are the base of the skull and the lower portion of the spine. Although these tumors are benign, they may invade the adjacent bone and put pressure on nearby neural tissue.

How long can you live with an oligodendroglioma?

As a general rule, people with grade II oligodendrogliomas are likely to live for around 12 years following diagnosis. People with grade III oligodendrogliomas are expected to live an average of 3.5 years. Do talk to your doctors. They will be able to give you a more individualized prognosis for your condition.

How does oligodendroglioma affect the body?

Oligodendroglioma can occur at any age, but most often affects adults. Signs and symptoms can include seizures and headaches. Weakness or disability can occur in the part of the body that's controlled by the nerve cells affected by the tumor.

Oligodendroglioma | Brain Tumor Mnemonic

40 related questions found

Is oligodendroglioma the same as glioblastoma?

Their names refer to the kind of cells in which they begin: Astrocytoma affects the glial cells called astrocytes. The most aggressive astrocytoma is a glioblastoma, which is also called a glioblastoma multiforme. Oligodendroglioma affects the glial cells called oligodendrocytes.

Do Oligodendrogliomas run in families?

A family history of brain tumors was associated with an increased risk of anaplastic oligodendroglioma (OR = 2.2; 95% CI: 1.1–4.5). Having had chicken pox was associated with a decreased risk of oligodendroglioma (OR = 0.6; 95% CI: 0.4–0.9) and anaplastic oligodendroglioma (OR = 0.5; 95% CI: 0.3–0.9) in the US studies.

Can grade 2 oligodendroglioma be cured?

What Is Oligodendroglioma? Oligodendroglioma, a rare tumor that starts in the brain or spinal cord, has no cure. Catching the cancer early and starting treatment is the best way to prolong life -- people with stage II of this kind of cancer live an average of 12 years after diagnosis.

Can you survive a Grade 3 oligodendroglioma?

High grade/anaplastic (grade 3)

About 30 to 38% of people with this type of tumour will survive for 5 years or more after they are diagnosed. Read more about oligodendroglioma brain tumour types and treatments.

Can oligodendroglioma metastasize?

An oligodendroglioma metastasizes very infrequently. In most cases (96% in one study) (2), extraneural metastasis occurred after surgical excision of the primary tumor. There are several reports of local infiltration of the meninges as well as drop metastases to the spinal cord.

What is a oligodendroglioma?

Oligodendroglioma is a primary central nervous system (CNS) tumor. This means it begins in the brain or spinal cord. To get an accurate diagnosis, a piece of tumor tissue will be removed during surgery, if possible.

What were your first signs of a brain tumor?

What were your first signs and symptoms of a brain tumor?
  • Irritability, drowsiness, apathy or forgetfulness.
  • Numbness or tingling in the arms or legs.
  • Dizziness.
  • Partial loss of vision or hearing.
  • Hallucinations, depression or mood swings.
  • Personality changes, including abnormal and uncharacteristic behavior.

What is the most aggressive brain tumor?

When it comes to malignant brain tumors, "aggressive" means that the cancer forms, grows in size or spreads at a rapid pace. While there are well over 100 different types of brain tumors, glioblastoma is typically recognized as the most aggressive primary brain cancer in adults.

Is oligodendroglioma genetic?

The etiology is not known but no hereditary forms of oligodendroglioma have been reported. However, specific genetic characteristics, such as loss of chromosomes 1p and 19q, are observed.

What is neurologic anaplastic oligodendroglioma?

Anaplastic oligodendroglioma is a neuroepithelial tumor which is believed to originate from oligodendrocytes, a cell type of the glia. In the World Health Organization (WHO) classification of brain tumors, anaplastic oligodendrogliomas are classified as grade III.

Are schwannomas painful?

Schwannomas usually don't produce symptoms until they become large enough to put pressure on the nerves around them. You may feel occasional pain in the area that's controlled by the affected nerve. Some other common systems include: a visible lump under the skin.

How bad is a grade 3 brain tumor?

Grade 3 and 4 tumours are high grade, fast growing and can be referred to as 'malignant' or 'cancerous' growths. They are more likely to spread to other parts of the brain (and, rarely, the spinal cord) and may come back, even if intensively treated.

How long can you live with a low grade glioma?

Low-grade gliomas are slow-growing tumors associated with a median survival time ranging from 4 to 13 years, depending on the subtype; in almost all cases, the tumors undergo malignant transformation, ultimately leading to death.

Can anaplastic oligodendroglioma be cured?

Approximately one third of patients with oligodendroglioma appear to be cured with aggressive treatment. Age is the most important predictor of long-term progression-free and absolute survival with young patients (especially aged <21 years) doing much better than older patients.

Can you survive a grade 3 glioma?

Anaplastic or malignant meningioma (grade 3) – These tumours have a median survival of less than 2 years. The median progression-free survival is approximately 12.8 months with chemotherapy alone and up to 5 years with combination chemotherapy and radiation therapy. Median survival ranges from 7–24 weeks.

How long can a glioblastoma be present before symptoms?

“Now, clinicians don't have any way to detect the tumors until patients have symptoms, which is typically three months before diagnosis.

What does a headache feel like if you have a brain tumor?

Every patient's pain experience is unique, but headaches associated with brain tumors tend to be constant and are worse at night or in the early morning. They are often described as dull, "pressure-type" headaches, though some patients also experience sharp or "stabbing" pain.

Are glioblastomas always fatal?

Glioblastoma incidence is very low among all cancer types, i.e., 1 per 10 000 cases. However, with an incidence of 16% of all primary brain tumors it is the most common brain malignancy and is almost always lethal [5,6].

What is the longest someone has lived with glioblastoma?

As of July 20, 2017, Sandy Hillburn is an 11-year survivor of glioblastoma. Nearly a decade after learning she had only three months to live, Sandy Hillburn grabbed a taxi last Sunday to La Guardia Airport for one of her regular "business trips" to North Carolina.